差し歯のまわりの歯ぐきが黒くなるのはなぜでしょうか?の解説
ホーム>差し歯のまわりの歯ぐきが黒くなるのはなぜでしょうか?
差し歯のまわりの歯ぐきが黒くなるのはなぜでしょうか?
差し歯のまわりの歯ぐきが黒くなるのはなぜでしょうか?

回答
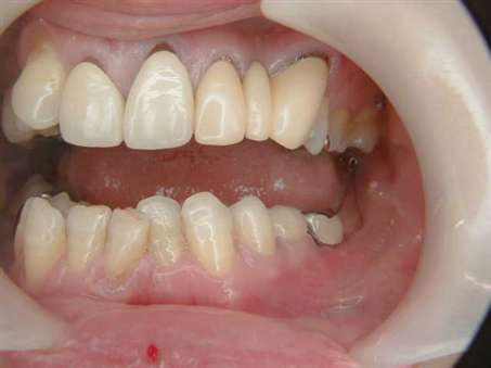
歯ぐきが黒くなる原因はいくつか考えられます。
・歯に入れている金属のイオンが溶けだし、歯茎に影響を与えることがあります。特に金属アレルギーのある方は歯茎が炎症を起こすことがあります。
・被せものなどの継ぎ目に隙間ができ、虫歯になっていて、そこが黒く見えることがあります。
・歯槽膿漏等で歯茎が退縮し、被せものの継ぎ目や土台となる歯根部分が出ているため、黒く見えることがあります。
・タバコのメラニンなどの色素によって歯茎が変色している場合があります。
虫歯や歯茎の退縮が原因の場合は、再治療をして、適合の合った被せものをすることで改善されます。
金属イオンによる影響の場合は、原因である金属を取り除くことで、軽減はされますが、完全に元に戻らない場合があります。
色素によるものは、薬剤を塗布したり、レーザー治療などで漂白することができますが、深くまでしみ込んだものは、完全に取りきれない場合もあります。
スポンサード リンク
ホーム>差し歯のまわりの歯ぐきが黒くなるのはなぜでしょうか?

