ホーム>ハイブリッドセラミックインレー
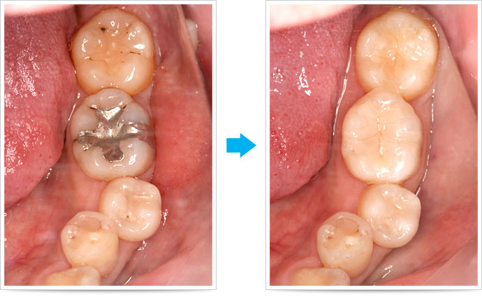
銀歯の詰め物(インレー)をセラミックでできた、白い材料のインレーに交換することで、健康的で自然な美しさが蘇ります。金属による詰め物は、丈夫さではありますが、見た目も悪く、金属アレル ギーの問題も指摘されています。 「セラミック」「ハイブリッドセラミックインレー」といったセラミックによる詰め物(インレー)なら金属アレルギーの方も安心して治療していただけます。
来訪者数 現在 人閲覧中 最終更新日:
Brought to you by Smashing MagazineTheme designed by Dellustrationsmodified by Temps